
記者許正雄∕高雄報導
持續嘔吐卻不是腸胃炎?高雄榮民總醫院兒童腸胃科最近接到一名12歲的方小弟來兒科掛急診,因為已經持續嘔吐兩天合併肚子疼痛,甚麼也吃不下,甚至嘔吐物都已經看到綠色的膽汁,經檢查發現一顆完好的香菇卡在腸子中。
高榮兒科指出,方小弟在就醫前一天到中部玩,在夜市吃過5分熟的牛排,之後就開始腸胃不舒服,一直覺得肚子很脹,他曾經去其他醫院就醫過,當時醫師診斷是腸胃炎合併脫水,建議住院,但因家在南部,選擇回南部治療,到高雄榮民總醫院住院治療,才發現根本不是腸胃炎。
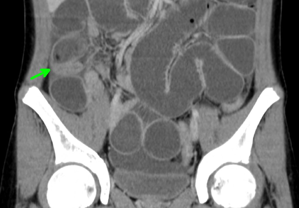
兒童腸胃科醫師何珮瑜指出,住院2天後症狀並無明顯的改善,仍然無法進食且持續嘔吐,肚子痛也還是持續,因為肚子仍然很脹,且病況持續,主治醫師決定作腹部的電腦斷層看看肚子裡的情況。

結果在腹部電腦斷層顯示,小腸中有異物卡住,緊急會診兒童外科醫師王國強,經過手術的處理,發現1顆完好的香菇卡在腸子中,造成腸子阻塞,食物完全無法通過腸道,經過手術的移除後,方小弟終於不會嘔吐腹痛,開心的回家了。
方小弟表示自己不喜歡香菇的味道,所以1週前的便當有香菇不敢咬,直接吞下去,才造成香菇幾乎完全沒有消化,阻塞住腸道;持續嘔吐腹痛的可能性有很多,異物的阻塞也有可能,菇類等食物因不好消化,醫師建議大家多嚼食幾下再吞下去,以免卡住腸胃道,需要手術或內視鏡等等的處置。