
記者徐義雄/台中報導
74歲許先生有數十年菸齡且已享受退休生活,呼吸喘合併有喘鳴聲,十年前被外院胸腔科醫師診斷為慢性阻塞性肺病。近年來逐年呼吸困難,幾年前聽從醫生建議已戒菸,雖有吸入性支氣管擴張劑及其他症狀藥物規律控制,還是常發生咳、喘和有痰的情況。前往仁愛長庚合作聯盟醫院胸腔內科洪崇文醫師門診,洪崇文醫師為中西醫雙主修,透過教導許先生從自主運動與呼吸訓練、飲食著手改善,約半年後許先生行動比較不喘,精神狀態良好,明顯提升日常生活品質。

洪崇文醫師表示,慢性阻塞性肺病是一種呼吸道的疾病,常見原因包括:一、吸菸:吸菸常會吸入有害的微粒與有毒氣體進入肺部,造成肺部發炎受損;二、二手菸、三手菸與空氣汙染:有害的微粒子進入肺部後,造成慢性發炎及慢性咳嗽;三、老化:肺部功能隨著年紀增長,可能增加肺部阻塞性疾病的發生;四、遺傳:家族有重度肺阻塞性疾病患者,其家人罹患的風險也會增加;五、其他:如肺發育不全、患有氣喘、支氣管過敏病史或肺部反覆感染者。
慢性阻塞性肺病常見三大症狀是「慢性咳嗽」:這是早期最容易出現的症狀,患者常誤以為是一般感冒或吸菸煙霧刺激所致,不以為意;「咳痰」:伴隨咳嗽後出現黏痰、白痰或黃痰,常與呼吸道感染或氣喘病混淆;「呼吸困難(喘)」:患者可能會感到胸悶,日常活動能力漸漸下降,如爬樓梯或搬重物會感到喘息甚至喘不過氣,散步行走都會感到喘鳴不適,當合併其他肺部感染症時,情況會更嚴重。
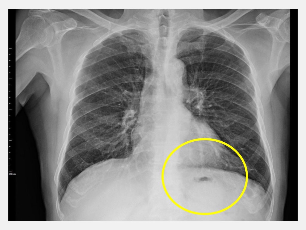
洪崇文醫師指出,肺功能檢查是診斷慢性阻塞性肺病的必要工具,許先生胸部X光檢查顯示肺部有過度充氣現象,肺功能檢查則顯示有中度肺阻塞現象。檢視許先生藥物使用的正確性,教導許先生做自主運動與呼吸訓練,如鼻子吸氣走兩步,蹶嘴吐氣走兩步或四步,中間偶爾來一次深吸、深吐,習慣後再慢慢加快步伐,提醒避免冰飲、酒及生冷水果,盡量攝取低升糖飲食,足夠蛋白質攝取量,建議每日每公斤體重攝取1.0–1.2公克蛋白質。

據研究顯示,慢性阻塞性肺病患有很高的比例是跟「吸菸」有關,建議民眾應該戒菸與遠離汙染環境,若有出現慢性咳嗽、咳痰、胸悶或呼吸困難現象盡快就醫。