
記者曾芳蘭∕竹市報導
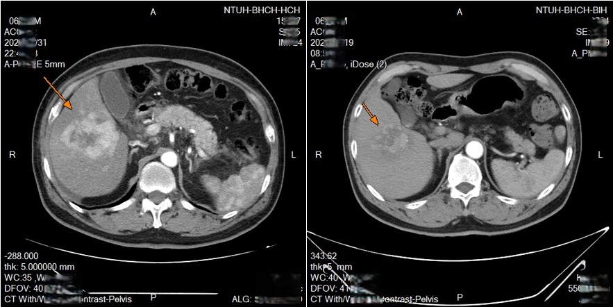
新竹一名63歲男性,先是得了淋巴癌,而後在治療期間又發現肝腫瘤,確診肝癌,醫療團隊安排進行鎖骨下導管置放於肝動脈灌注化療(HAIC),歷經兩次療程,腫瘤明顯縮小。台大新竹分院影像醫學部醫師游加樂表示,HAIC技術近年在台灣逐漸興起,已成無法接受根治性手術或栓塞術的中晚期肝癌病人重要治療選項之一。
游加樂說,HAIC原理在於通過置放管路,將化療藥物直接送入肝動脈,使藥物高濃度集中於肝臟腫瘤細胞,能達到比傳統靜脈全身化療更高的治療效果,由於藥物集中於肝臟,病人全身性的副作用會大幅降低。改良版的導管是經由左鎖骨下動脈放置,每次治療後可迅速移除導管,避免長期放置導管所帶來的血管阻塞等風險。
透過可移動式的導管放置,每次治療後都可以重新調整導管的位置,若導管移位或堵塞,可以迅速處理,減少併發症的發生。臨床上,不少病人對治療產生良好反應,部分病人在影像追蹤中可見腫瘤縮小或消失,顯示治療具相當潛力。
除了HAIC治療外,許多中晚期肝癌病人仍需搭配其他治療方式來達到最佳效果,當HAIC治療結束後,醫師可依病情需要進行肝動脈栓塞術或免疫藥物等輔助治療,這些治療的綜合應用,能夠大幅提高疾病的控制率,改善病人的生存機會。然而,並非所有病人都適用,仍需由專業醫師進行完整評估。