
記者曾芳蘭∕竹市報導
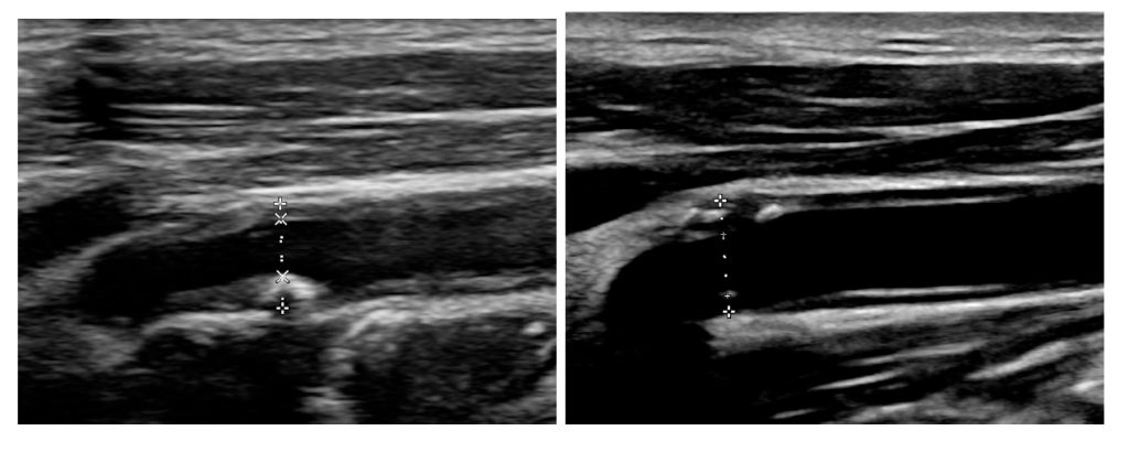
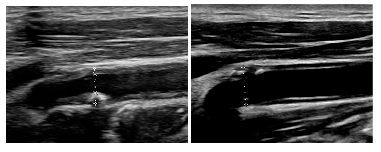
一名頭頸部癌症病人8年前因舌癌接受放射線治療,長期受到口乾與高血壓等問題困擾;4年前影像檢查顯示、其右側頸內動脈已有明顯斑塊及約50%的血管狹窄,屬於高風險族群。經長期高強度降血脂治療後,頸動脈斑塊明顯減少、血管狀態大幅改善。
新竹台大分院心血管中心醫師張恕桓指出,這位病人曾接受放射線治療,血管內皮容易受損,更容易形成粥樣硬化斑塊。自2018年起在心血管中心團隊照護下,病人每天規律服用降血脂藥(他汀類藥物,Statin),有效降低壞膽固醇(LDL)濃度,穩定甚至縮小斑塊體積。
在影像比對中,2022年仍見顯著斑塊;經持續使用降血脂藥物,今年追蹤影像顯示,頸動脈斑塊體積明顯減少、血管壁恢復光滑,血流更為順暢,治療獲得良好成效。積極控制血脂肪為臨床上醫師常常進行的決策處方,也符合國際治療指引,只是常常沒有機會讓一般民眾看到其治療成果。
張恕桓說明,降血脂藥(他汀類藥物,Statin)類藥物除了降膽固醇外,也具有抗發炎與穩定血管的作用,有助於預防中風及心臟病發作。接受放射線治療的頭頸癌病人屬於「血管加速老化」高危族群,應定期檢查血脂與頸動脈超音波,必要時與醫師討論是否採取積極降脂治療。
新竹台大分院呼籲,民眾若有高血壓、糖尿病或吸菸等心血管危險因子,更應維持良好生活習慣與規律服藥,以降低血管阻塞風險。該院心血管中心結合臨床醫師、專科護理師與藥師跨專業團隊,持續推動精準化心血管照護與病人教育。此案例證實藥物治療的長期成效,也展現醫院在整合癌症治療與心血管防治上的臨床專業與研究能力。