
記者吳瀛洲∕新北報導
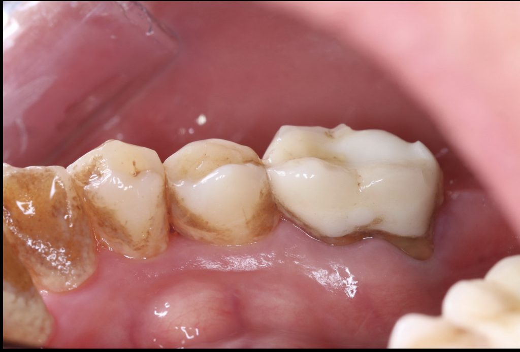
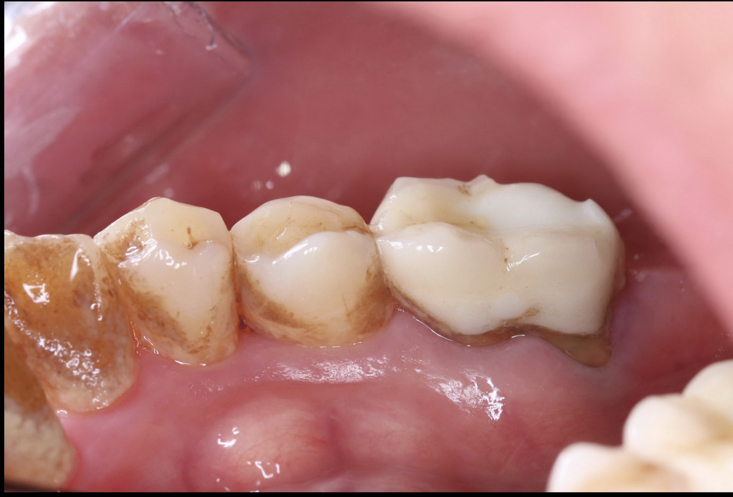
一名60多歲的公司女主管因工作繁忙、三餐在外、作息不規律,多年來刷牙方式不正確,加上清潔牙縫不足,使牙菌斑長期堆積,導致牙齦腫痛、部分牙齒出現搖動感;X光檢查發現牙周支持骨頭(齒槽骨)已出現大範圍吸收,屬於牙周病惡化的後期表現。
恩主公醫院牙醫部醫師趙冠齊指出,若牙齦出現容易腫脹、按壓不適感、刷牙或吃東西後總覺得不夠乾淨,或口臭持續加重、牙齒開始輕微晃動、牙縫變大、牙齦退縮等狀況,都是牙周健康惡化的警訊。有些人會發現牙齒排列逐漸改變或出現縫隙,這些都是發炎長期破壞牙周組織的徵兆。
牙周病雖屬慢性,但造成的骨頭與牙周組織破壞多半不可逆,「越早處理,越能保留原生牙齒功能」。牙周病的治療目標是「控制發炎」與「減緩惡化」,並非一次就能完全解決。
趙冠齊表示,臨床治療方式通常依嚴重程度不同而有差異。其中,例行性洗牙可清除牙齒表面及牙齦邊緣的牙菌斑與牙結石,是維持牙周健康的基本步驟。
深層牙周清創與根面整平為當發炎深入牙齦下方、細菌附著於牙根表面時,需要深入牙周囊袋進行刮除,以減少發炎。
牙周手術視嚴重度評估,在骨頭吸收嚴重、牙周囊袋過深時,醫師可能會評估是否需進行牙周翻瓣或再生手術,清除更深層的細菌與病變組織。

趙冠齊提醒,治療後的維持比治療當下更重要,患者必須改善清潔習慣並定期追蹤,才能真正穩定牙周狀況。牙周病不是突然發生,而是長期清潔不足的累積結果;養成正確的刷牙方式並確實清潔牙縫,從生活習慣著手,大多數牙周問題都能及早被發現並妥善控制。