
記者陳金龍∕台中報導
92歲高齡婦人隱忍腹痛好幾個月,就是不想讓子女擔心,痛到無法走路才勉強答應到醫院看胃腸肝膽科,一檢查嚇壞全家人,因為該老婦人的大腸癌腫瘤已破裂,隨時有可能因敗血症而致命。澄清醫院中港院區大腸直腸外科醫師陳周誠表示,經開刀切除大腸小腸共60公分後,目前恢復良好。
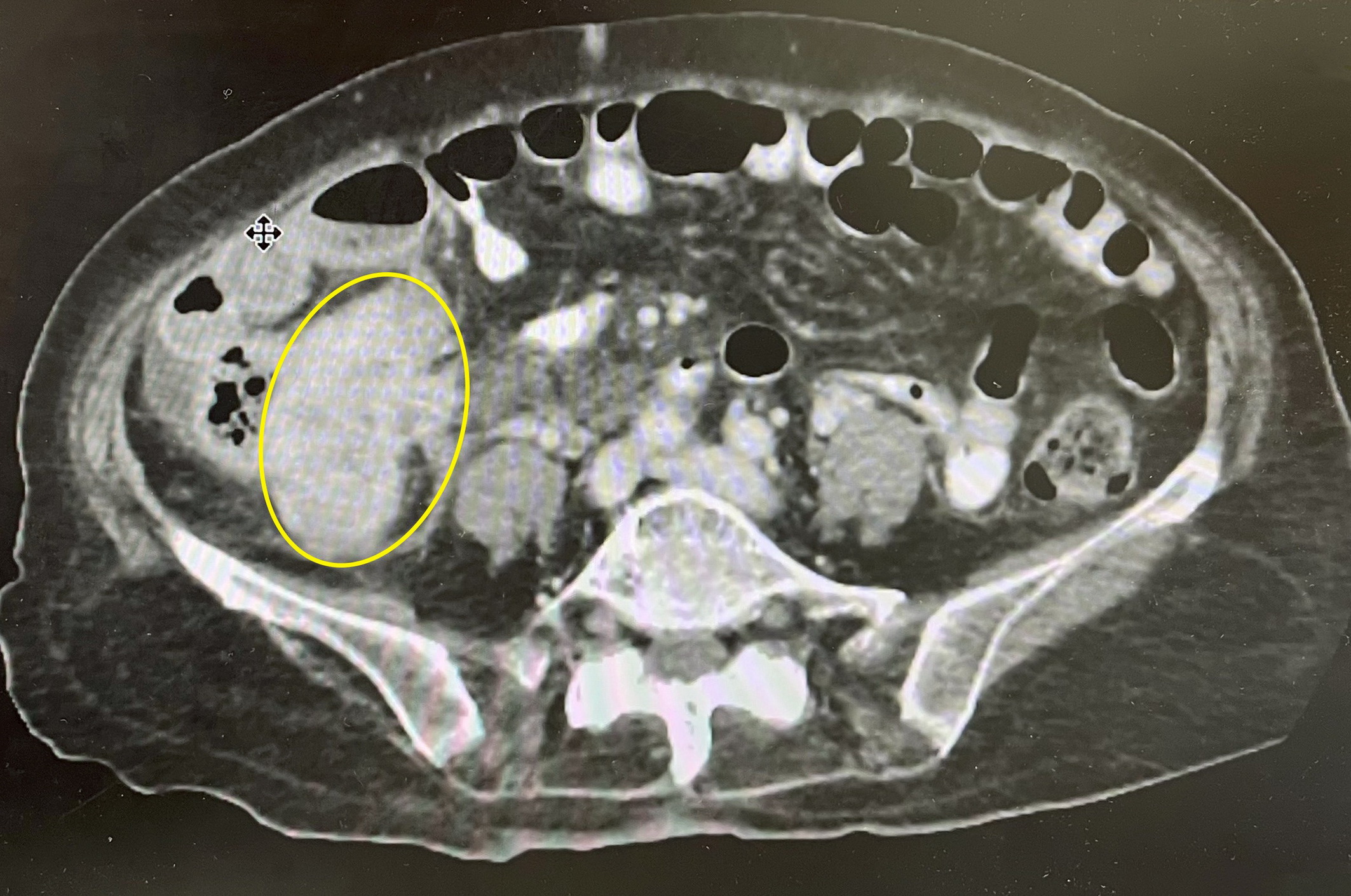
老婦人平常身體無異狀,只是幾個月來覺得右下腹隱隱作痛,能忍就忍,不想給子女帶來麻煩,直到最近真的痛到無法走路,才由兒子陪同看了胃腸肝膽科門診,抽血檢查血紅素掉到8.7(正常12至16)、白血球15900(正常10000以下),再經腹部電腦斷層檢查,發現右下腹部有一大團約10公分大腫瘤,外形呈不規則狀,診斷是大腸癌並已破裂,收治住院緊急會診大腸直腸外科。

陳周誠表示,經手術發現該老婦人右側大腸腫瘤約5.6公分大,腫瘤鑿穿大腸壁,溢出腫瘤物形成約4.9公分大破裂範圍,侵犯到迴腸末段,經手術切除大腸癌患部5公分,受癌細胞侵犯的迴腸55公分,再將小腸和大腸精密吻合,築出一新的通道,維持腸道的暢通。
該老婦人的大腸癌可說是長在右側大腸的最深處,在盲腸上方的大腸裡,很不容易發現,即使長了癌腫瘤,因此段大腸直徑較大又加上經過此段大腸的糞便水份較高,患者比較難感覺有大便異常的病識感。
陳周誠指出,據臨床醫學統計,大腸癌發生在左側大腸占7成,在右側大腸占3成,右側大腸癌雖然不容易發現,目前的糞便潛血檢查最為方便,一旦發現糞便有潛血現象,一定要做進一步的腹部電腦斷層,找出癌蹤跡及早治療。目前,該老婦人術後恢復良好,其子女再看到老媽的笑容,感謝醫師的手術成功。
陳周誠說,台灣已在去年正式邁入超高齡社會,這代表每5個人就有一名長者,很多長者對身體的病痛常常隱忍不說,怕帶給子女麻煩,這是一個嚴肅的問題,提醒民眾多注意老爸老媽的身體狀況,帶長者做政府有補助的定期健康檢查,絕對不要錯過。