
記者陳金龍∕台中報導
52歲徐姓婦人長年飽受經痛、頻尿及下腹悶脹等症狀困擾,就醫發現子宮前壁有顆約中型芒果大小的子宮肌瘤,已壓迫膀胱,導致頻繁如廁、夜間多次起床更影響睡眠,生活品質大受影響,接受「子宮肌瘤微波消融術」,1個月後回診追蹤。肌瘤縮小9成,身體不適大幅改善。
台中林新醫院婦產科醫師胡洺褘表示,子宮肌瘤是育齡及更年期女性常見的良性腫瘤,當肌瘤體積過大或壓迫周邊器官時,常會引發經痛、經血量過多、頻尿或下腹壓迫感等問題。治療方式需依病人年齡、症狀嚴重度及是否希望保留子宮做整體評估。
胡洺褘說,徐婦子宮前壁有顆約中型芒果大小子宮肌瘤,患者希望保留子宮並盡速恢復,充分討論後,選擇接受「子宮肌瘤微波消融術」。透過影像導引,將微波能量精準作用於肌瘤組織,使肌瘤壞死並逐漸被人體吸收,屬微創治療。
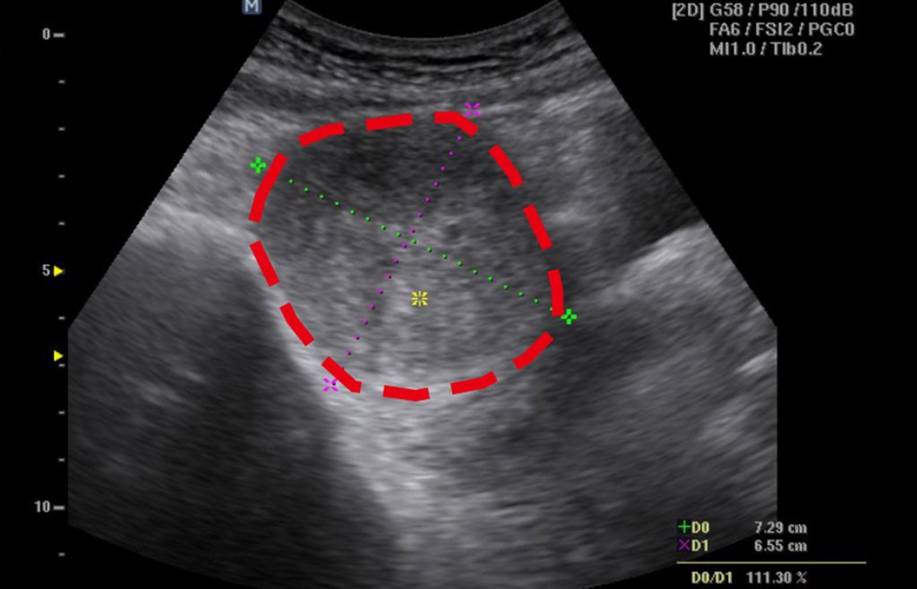
胡洺褘表示,徐女術後恢復良好,住院2天順利出院,1個月後回診,超音波顯示肌瘤已縮小至3.7×3.6×2.9公分,體積僅剩38立方公分,約縮小近9成,肌瘤大小,從芒果變成小番茄,原本困擾多年的經痛及因肌瘤壓迫造成的頻尿、悶脹感,也明顯獲得改善。
胡洺褘指出,子宮肌瘤微波消融術在縮小肌瘤體積及緩解相關症狀方面,具顯著效果。此項技術特別適合希望保留子宮、且不適合或不願接受傳統手術切除的女性,但仍須經專業醫師評估並選擇最適合治療方式。提醒女性若長期出現經痛加劇、經血量異常、頻尿或下腹不適等症狀,應及早就醫檢查。