
(台北慈濟醫院提供)
記者蔡琇惠∕新北報導
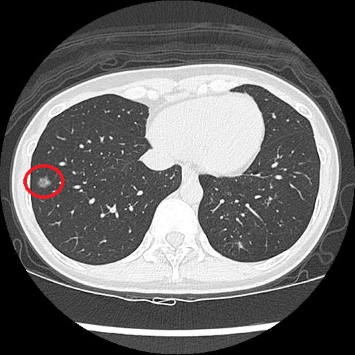
過去有長期吸菸史的41歲陳小姐,在醫療團隊的協助下戒菸近兩年,因符合政府公費「低劑量電腦斷層(LDCT)」篩檢條件,她依建議就醫檢查,卻意外發現右肺有一顆約1.2公分的毛玻璃結節,被轉診至胸腔外科門診,經單孔胸腔鏡微創手術切除病灶,術後病理檢查確診為肺腺癌第1期,目前定期回診追蹤中。
根據衛福部癌症登記資料,肺癌已連續43年高居國人癌症死因之首,台北慈濟醫院醫師洪嘉聰表示,早期肺癌幾乎沒有明顯症狀,多數患者是在疾病進展後,才可能出現咳嗽、咳血或呼吸不適等警訊,因此民眾較難察覺異樣。
洪嘉聰指出,LDCT篩檢是利用比傳統電腦斷層更低的輻射劑量,從多個角度掃描胸腔,重建出清晰的橫切面和立體影像,有助於偵測肺部的微小結節。相較於傳統胸部X光只有少數約百分之7的受檢者會出現疑似異常影像,LDCT能使初次篩檢的陽性比例提升至約百分之23至24,大幅增加早期病灶被發現的機會。
洪嘉聰表示,醫學進步,早期肺癌現今主流手術為單孔胸腔鏡手術,僅需從側胸開2至3公分的傷口,利用類似釘槍的自動縫合器,就能完成病灶切除與縫合;此外,針對高齡長者或經評估肺功能較差者,亦可考慮冷凍消融治療,在超音波影像導引下,將探針精準置入病灶,達到局部治療的效果。只要能在早期診斷並及時接受合適治療,病人的5年存活率高達九成,復發率約落在2至3成之間。