
記者吳瀛洲∕新北報導
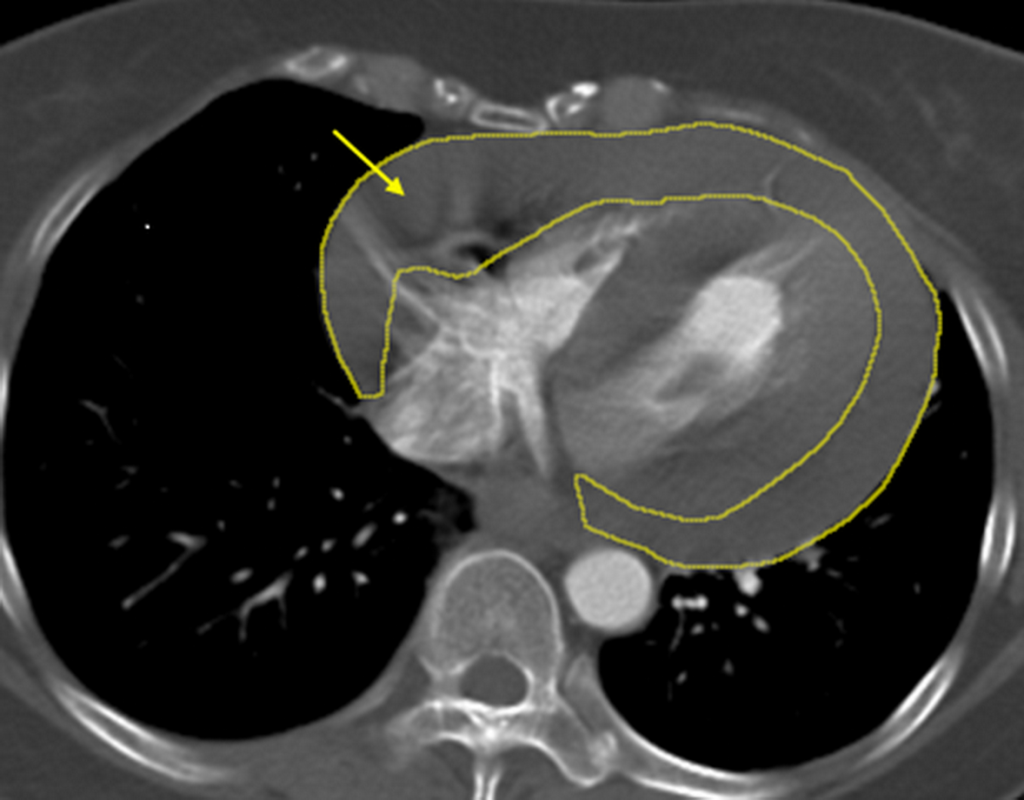
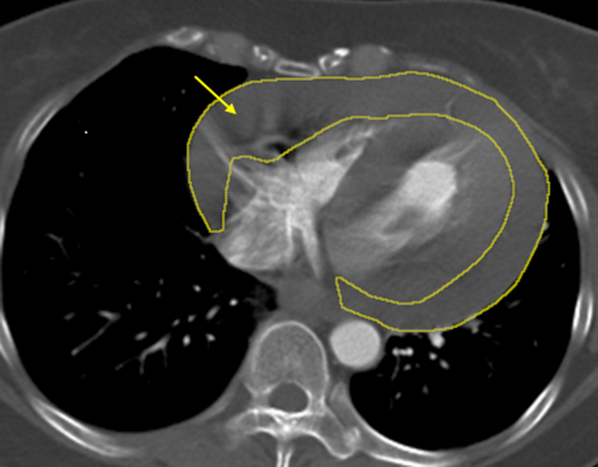
46歲陳小姐日前騎機車返家途中,突感頭暈、意識不穩而失控摔倒,緊急送抵土城長庚醫院時已陷入休克狀態;緊急診查發現陳女心臟外層已迅速累積大量心包積血,高度懷疑合併外傷引發的升主動脈剝離,經緊急啟動跨科整合搶救機制,在關鍵72小時內接力完成「劍突下心包開窗術」、「升主動脈置換術」、「胸骨固定」等重大手術,成功將陳女從生死關頭拉回。
土城長庚醫院胸腔及心臟血管外科主治醫元鄭元熙指出,心包積血是指血液在極短時間內大量堆積於心臟外層空間,造成心臟受壓,無法正常擴張與跳動,血壓會急遽下降,甚至在數分鐘內引發心跳停止,是典型的立即致命急症;而升主動脈為全身最粗大的血管,一旦發生剝離或破裂,出血速度宛如水管爆裂,臨床上不乏患者在尚未送醫前即發生致命後果。
鄭元熙表示,陳女自述長期有反覆頭暈的困擾,過去也曾因突發頭暈騎腳踏車摔倒,但因症狀短暫而未進一步就醫檢查。
針對陳女這次暈倒休克,經影像檢查確認為大量心包積血,醫療團隊第一時間成立跨科搶救小組,由心臟外科緊急執行「劍突下心包開窗術」,迅速解除心臟壓迫、穩定循環;隨後無縫銜接由血管外科進行高難度的「升主動脈置換術」,以人工血管重建破裂的主動脈。在術後並陸續完成止血、調整及胸骨固定等關鍵處置,終於順利挽回陳女一命。
鄭元熙表示,心包積血與主動脈剝離往往來得又急又快,初期甚至可能沒有明顯預兆,卻能在短時間內危及生命,若本身有高血壓、動脈硬化或心血管疾病家族史,應定期追蹤檢查並戒菸控制風險;一旦出現突發性劇烈胸痛、背痛、腹痛,或頭暈、暈厥等非典型症狀,切勿輕忽,務必立即就醫,把握黃金搶救時機。