
(衛福部台北醫院提供)
記者吳瀛洲∕新北報導
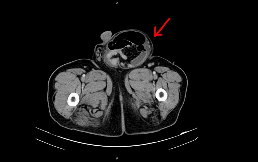
55歲的莊先生,在幾年前發現自己的「該邊」有小腫塊,只要推一下腫塊就會消失在腹部,並不以為意,直到最近發生持續惡心、嘔吐,且「小腫塊」長大至約10公分如小蘋果大小,且「小蘋果」快速長大,導致呼吸困難、無法正常進食與排尿,到衛福部台北醫院就醫,診斷為嵌頓性腹股溝疝氣,合併小腸阻塞、急性腎衰竭,經施以腸道沾黏分離與疝氣修補手術後恢復良好。
台北醫院外科醫師黃善鴻表示,透過電腦斷層檢查莊先生的「該邊」,發現其右側腹股溝腫塊直徑達15公分,小蘋果已變成大水梨了,需趕快手術處理,及術後恢復良好,且腎衰竭已自行改善,可免於終身洗腎,目前莊先生已順利出院。
黃善鴻表示,莊先生診斷為嵌頓性腹股溝疝氣,疝氣就是俗稱的「墜腸」、「脫腸」,是常見的外科疾病,當身體突然用力時,造成器官或組織移動到不正常的位置所造成,一般外觀會有突起,特別是在久站、運動或肚子用力後更加明顯。
疝氣於任何年齡層都會發生,包括嬰幼兒至老人,但常見發生的族群為男性、年長者、慢性咳嗽或長期便秘者,及有疝氣家族史、懷孕女性、曾發生疝氣者。
黃善鴻指出,腸道卡在疝氣囊裡,血液因無法順利傳送,可能造成器官組織缺血或壞死,形成「嵌頓性腹股溝疝氣」,病人此時會有肚子疼痛、發燒、惡心、嘔吐等症狀,十分不適。尤其壞死的腸道容易導致腸穿孔、腹腔感染,造成病情加重,最嚴重可能導致敗血症、穿孔性腹膜炎、休克、死亡,嚴重危及生命,是腹部的急症,需要立即手術。
黃善鴻表示,若身為高危險群,且發現股溝「該邊」處有異常突起時,應就醫尋求詳細診斷;目前因醫療與醫學材料的進步,有許多人工腹膜補強手術,包括傳統手術與腹腔鏡手術可供病人選擇,盡早就醫與治療,可改善症狀與避免併發症,維持好的生活品質。
