
記者陳金龍∕台中報導
台中一名62歲男性,日前因右側扁桃腺發炎,竟意外發現頸部至胸腔有1顆超大腫瘤,醫師以達文西機器手臂切除腫瘤,手術順利完成並接續化療計畫,根據術後病理報告確認,是「瀰漫性大型B細胞淋巴癌」。
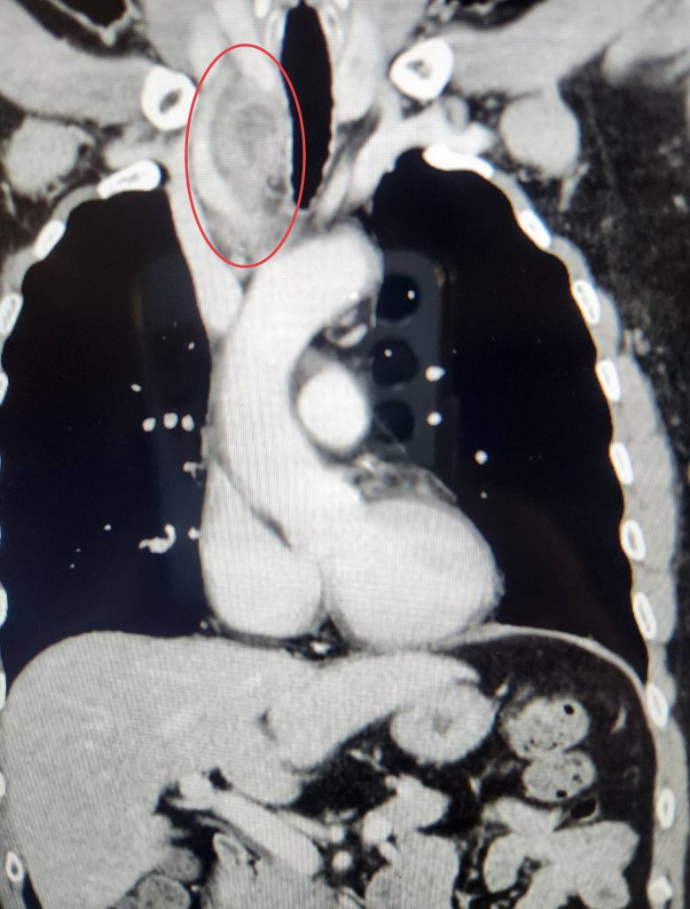
這位男性患者過往沒有特殊疾病史,除了扁桃腺紅腫、齒齦發炎,無其他明顯不舒服症狀,在他院接受抗生素治療,檢查過程驚見他的頸部到胸腔有1顆長邊達7.5公分的巨大腫瘤,已壓迫造成氣管嚴重向左偏移,原診斷認為是甲狀腺起源之腫瘤,但轉診在中港澄清醫院再做一次電腦斷層影像檢查,更像是神經來源的腫瘤,在外科部主任賴重佑專業評估及檢查影像結果判斷下,擬定治療方案。

手術先從右側脖子開始,將腫瘤和周邊氣管、食道、喉返神經、總頸動靜脈做分離鬆解,第2階段再進行胸腔達文西手術,以靈活機械手臂透過微創切口,精準避開重要血管與神經,完整取出巨型腫瘤,手術非常成功,術後病人僅稍有聲音沙啞,整體恢復狀況良好。
血液腫瘤科醫師李宥丞表示,瀰漫性大型B細胞淋巴癌屬於較高度惡性且進展快速的癌類,侵犯組織以瀰漫性分布,好發在中高年齡族群,發生機率男性高於女性,而致病原因尚不明確,於台灣盛行率約占全癌別的2%,疾病風險取決於其年齡、影響範圍、基因表現而定。在過去沒有治療的年代,自然病程存活期僅數個月;現在有較為成熟的藥物可以使用,治療效果也不錯,有經驗的血液科醫師能在標靶藥物、化療、免疫治療、細胞治療、自體幹細胞移植等手段中,依病人的需求設定完整的治療計畫,因此瀰漫性大型B細胞淋巴瘤不僅存活時間大幅延長,更有超過一半的病患可以完全治癒。

