
記者陳金龍∕台中報導
一名23歲女子騎機車劇烈相撞汽車後,外觀看似一般胸部挫傷,呼吸音異常;超音波檢查顯示肋骨斷裂插入肺臟致血胸,經手術搶救後挽回一命。
澄清醫院平等院區指出,該女子送急診室時僅主訴右胸疼痛、呼吸稍不順,竟撞出肋骨斷裂併血胸,且胸腔內積血持續增加,嚴重壓迫肺部擴張,危及生命。
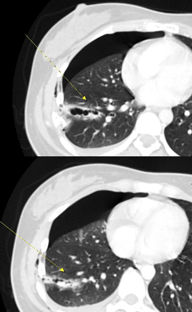
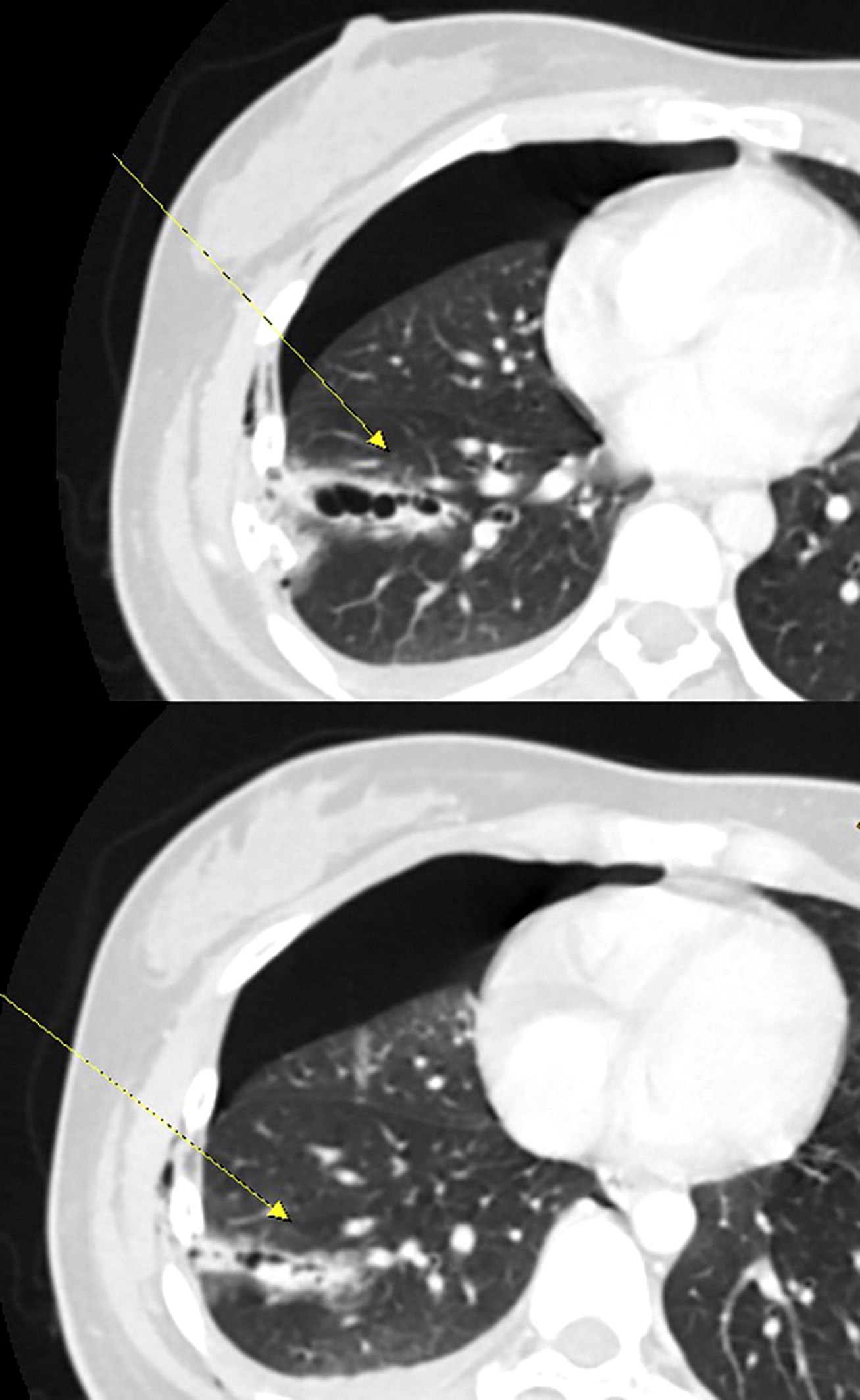
胸腔外科主任杜承哲表示,女子傷勢外觀看似一般胸部挫傷,意識清楚;急診專科醫師進行創傷評估時,發現右側呼吸音異常且觸診疼痛明顯,直覺「案情並不單純」,立即安排床邊創傷超音波。影像顯示右側胸腔已出現中量積液,懷疑出血,進一步揪出是致命「血胸」與多發性肋骨骨折。
杜承哲說,胸腔損傷最怕「溫水煮青蛙」,外觀看似僅瘀青,內部卻在持續出血。患者經電腦斷層掃描,影像證實右側第5~7肋骨骨折,其中2節肋骨明顯插入肺組織,造成肺臟破裂;且胸腔內積血正持續增加,嚴重壓迫肺部擴張,單純引流可能無法止血且無法解決肋骨不穩定劇痛。如果不緊急處理,患者隨時可能由於呼吸衰竭或休克而危及生命。

經採用精準內固定手術,以內視鏡微創手術進入胸腔確定骨折處和出血點,清除積血並修補肺臟,再進行肋骨骨折復位固定手術,針對斷裂的肋骨使用專用骨板固定,重建胸廓穩定度。患者現已順利出院,重返正常生活。
杜承哲表示,車禍或撞擊後如果感覺胸口悶痛、呼吸困難,即使外觀無明顯傷口,仍應立即就醫檢查,排除氣胸、血胸或內臟出血可能,以免錯失黃金治療期。