
記者陳金龍∕台中報導
鼻腔出血看似小事,但若反覆發生且出血量劇增,背後可能隱藏危機。桃園1名90歲林姓婦人24年前罹患鼻部惡性腫瘤,接受電療後病況長期穩定,最近鼻腔反覆嚴重出血,輾轉來到光田綜合醫院,經耳鼻喉頭頸部鼻科主任沈炳宏檢測,發現婦人罹患罕見假性動脈瘤,與影像醫學部暨醫療副院長嚴寶勝協作進行血管栓塞處置,後續出血狀況大幅改善。
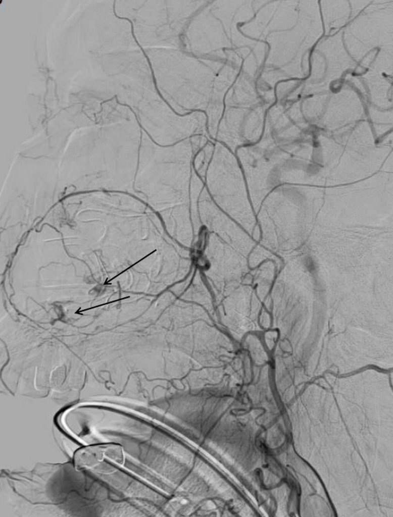
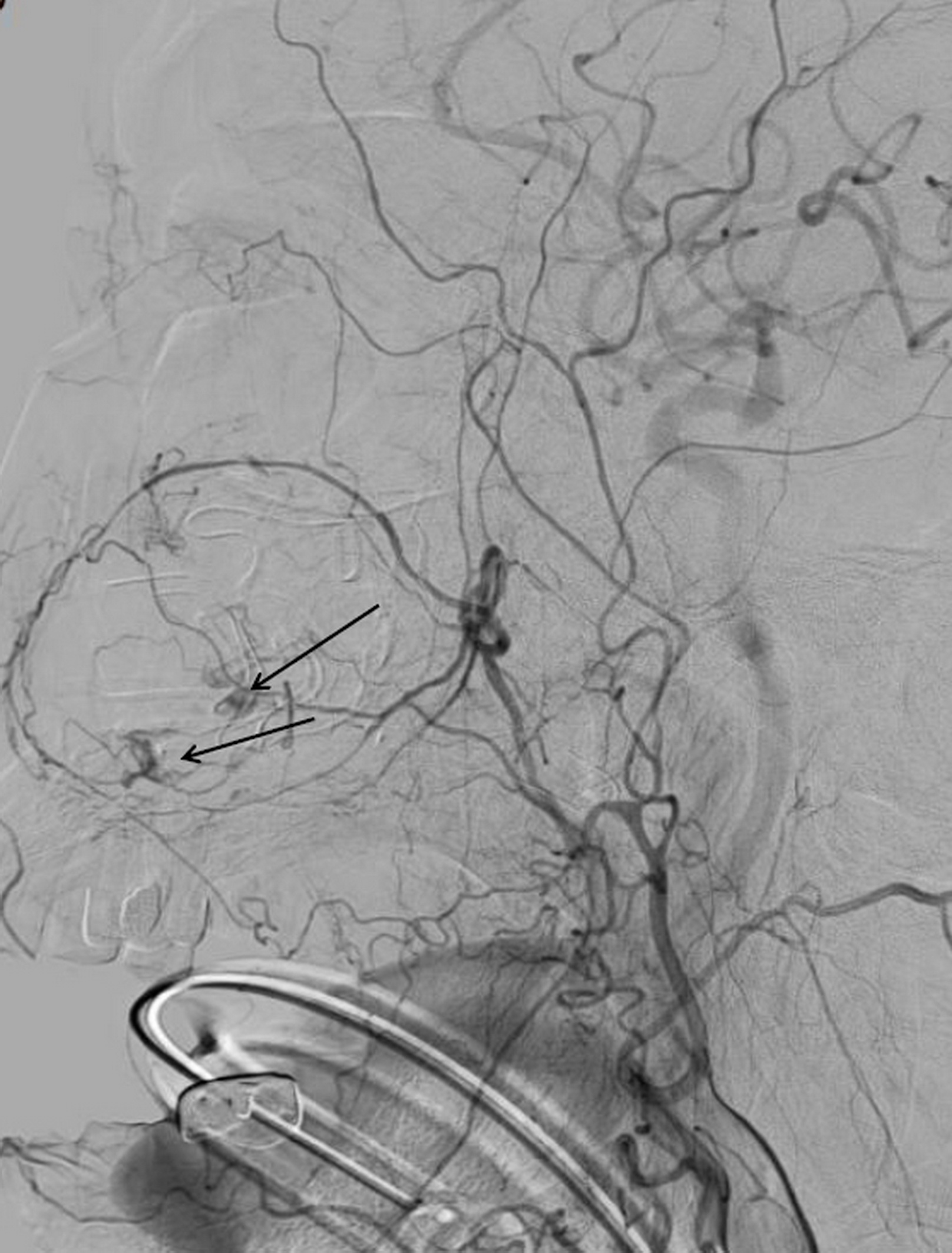
沈炳宏指出,林姓婦人共3度求醫才確診為「假性動脈瘤」,最初就醫時,鼻腔內有大型腫塊,切片檢驗皆排除腫瘤復發,直到兩側鼻腔因血腫阻塞無法呼吸,再度入院求助,沈炳宏在打通鼻腔的過程中,發現出血量異常且止血困難,推測為動脈血管畸形導致凝血功能異常,假性動脈瘤並非真正的血管瘤,而是血管壁受損後不斷增生引起的機化血腫。
沈炳宏表示,假性動脈瘤屬於血管病變,必須從內部根源去處理病灶,由影像醫學部暨醫療副院長嚴寶勝施行「動脈血管栓塞治療術」,成功阻斷了病灶的血液供應,術後復原良好,鼻腔不再出血,呼吸恢復順暢。

沈炳宏說,林阿嬤的狀況較為特殊,是20多年前電療引起的後遺症,多數假性動脈瘤是由外傷造成,且以腦部表現居多,這次鼻腔出血的症狀表現,在他行醫生涯中實屬罕見,電療可能是造成頸動脈狹窄或血管病變的危險因子之一,曾接受過頭頸部電療的患者,若出現反覆鼻出血或頸部血管不適,應定期回診追蹤,並尋求專業醫師評估,以利及早發現潛在的血管危機。