廣東增屈公病3181例 江門3級響應

本報綜合報導 大陸廣東屈公病疫情持續,根據廣東省疾控局5日通報,最新一週全省新增報告3181例,當中江門2480例。江門啟動突發公共衛生事件三級響應。 廣東省疾控局5日通報,9月28日~10月4日全省新增報告3181例屈公病本地個案,未報告重症和死亡個案。 廣東省疾控中心傳染病預防控制所長、傳染病防控首席專家康敏表示,節假日出行要注意個人防護,盡量避免前往疫情高發地區。在戶外活動穿著淺色長袖長褲,裸露皮膚塗抹「驅蚊水」,防止被叮咬。如出現發熱、關節疼痛、皮疹等可疑症狀,請及時前往醫療機構就診。

Read More

「鏟子超人」注意!粉塵恐引肺病 救災務必戴口罩

醫師黃建文呼籲「鏟子超人」務必注意呼吸道健康,投入救災過程盡量戴口罩。(記者陳金龍攝) 記者陳金龍∕台中報導 「鏟子超人」前往花蓮支援災後重建,許多志工因天氣悶熱未戴口罩,在滿是塵土與碎屑的環境中工作,長期累積恐引起呼吸道疾病,嚴重者甚至會造成氣喘惡化或加重「慢性阻塞性肺病」症狀。醫師呼籲志工務必戴口罩,出現症狀應盡速就醫。 亞洲大學附屬醫院胸腔暨重症醫學中心副院長黃建文表示,天災過後空氣中往往會伴隨大量肉眼難以察覺的微粒。以花蓮風災為例,散落的石棉建材、泥沙乾涸後產生的粉塵,以及潮濕環境滋生的黴菌孢子,甚至空氣中漂浮的細菌都是呼吸道的敵人。 當吸入這些微粒時,鼻腔和氣管原有的過濾與清潔功能會迅速超載,粉塵直接沉積在肺泡,引發急性或慢性的發炎反應,最直接的臨床表現是咳嗽、喉嚨痛與流鼻水,嚴重時可能出現喘鳴聲與胸悶,甚至讓氣喘或慢性阻塞性肺病患者情況惡化。 若吸入的是黴菌孢子,還可能造成過敏性鼻炎、支氣管炎,甚至過敏性肺炎;對免疫力低下的人,可能演變成肺部感染,石棉或重金屬粉塵甚至會增加肺纖維化甚至癌症的風險。尤其長時間暴露在粉塵環境的年輕志工,更是屬於高危險族群,雖然短時間沒有徵兆;但氣道慢性發炎可能已經悄悄醞釀,對未來健康造成不容忽視的隱憂。 黃建文建議,若在災區工作後出現持續性咳嗽、胸悶、呼吸困難,甚至伴隨發燒就盡快就醫;對於已有氣喘或慢性肺病的病患,更要隨身攜帶吸入劑,一旦症狀出現就立刻使用,千萬不要抱持「休息一下就會好」的心態,可能讓病情急速惡化。 他也呼籲,口罩是最有效也是最簡單的方式,在塵土飛揚的災區布口罩恐怕無法有效隔絕,外科口罩或醫療等級口罩才是兼顧呼吸與隔離的最佳解方。此外,離開現場後也要盡快洗臉、沖洗鼻腔,把殘留的粉塵去除。

Read More

〈中華副刊〉藝文活動快訊 蘇進強《素行引路——生活行者的智慧》新書發表會

 蘇進強,今後在政治人、文化人、媒體人等多重身分之外,又多了可為周遭友朋指引人生方向的「引路人」角色。他的最新力作《素行引路——生活行者的智慧》於教師節當日,在張榮發基金會國際會議中心隆重發表,會場中黨政軍及學術界要員匯聚、座無虛席,印證了他的好人緣,而在介紹新書的同時,傳出預購熱烈供不應求的好消息,更顯示這本書的切合時勢、深得人心。 這場盛會嘉賓如潮,前台灣商業聯合總會理事長張平沼、前內政部長李鴻源、前國安局長李翔宙上將、前陸軍總司令陳鎮湘上將,和前台北市副市長鄧家基都到場致詞,逾百位各界好友齊聲祝賀,不克出席的前立法院院長王金平和現任立法院長韓國瑜、桃園市市長張善政則送上花禮致意。 蘇進強致詞時則感性表示:「《素行引路》是個人超越過去的生活法則與生命經驗,超越黨、政、軍、文化、媒體的外相,重新觀照自己,以及對「素行」的思考、辨識,開啟一道生活、生命的路徑,它不是絕對的,或許只是一盞小小的光明燈,可以照亮、引進過去被遮蔽的微光。」他並強調,素行引路不是結束,而是開始,或許是盞微光,卻足以成為我們心中的光明燈,讓我們在亂世中依然能安然前行。 這場新書發表會不止溫馨熱鬧,還串起了種種殊勝因緣,例如台灣商總榮譽理事長、燿華企業集團會長張平沼就在彭百顯和蘇進強的力邀之下,同意成為素行生命能量協會的榮譽顧問,並在會中獲頒聘書;而與一天大人相知甚深的慧吉祥大活佛欣然贊助活動場地,使得新書發表會與推廣和平及孝道的幾檔文化節融為一體,在在反映濟世利人的正能量在聚合、在崛起。

Read More

〈中華副刊〉閱讀時差 在你淋浴時,血脈賁張地書寫關於慾望或禁慾的守則

文/姚時晴 畫/李昕 偷窺你的生活,像小說家偷窺自己作品裡的人物。在你淋浴時,血脈賁張地書寫關於慾望或禁慾的守則。 豐腴的胴體在我的浴室歌唱,濕漉漉地滴水浸透我的土耳其地毯。貼近你的電話筒,聽你和愛人爭執或與敵人對峙,咆嘯後的淚水不只溼透腳本裡的對話,也溼透我握筆的手肘。跟你走進廚房,在冰箱和餐桌前面一起忍受冷凍的滋味。陪你獨自逛街,你面無表情的臉反映在百貨公司的玻璃櫥窗時,我偷偷拍下你撥起瀏海的手勢。 當你翻開一本字典查閱專有名詞的註釋,我的電腦螢幕也出現你潛意識企圖隱匿的情緒索引:一個還在唸厚黑學的女人,離過一次婚,背叛過兩個人,有一個不定期出現的情人,穿名牌的鞋款和襯衫,養一隻波斯貓,住單身套房,每個月上健身房或SPA館保養。 所有我無法擁有的全在我筆下或你的身上。模仿上帝無遠弗屆的創造力和想像,創造一個可以自由偷窺跟拍的夏娃(也可以是亞當)。描述她的喜怒哀樂,聽她陳述自己的遭遇,為她的人生謹慎布局,安排曲折但淒美的邂逅。必要時,給她一個圓滿的結局或男人。是讀者,也是創造者。追蹤她的鞋跟到任何可能出現劇情的筆尖。

Read More

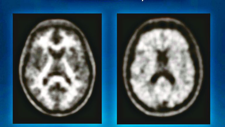
類澱粉蛋白沉積致認知衰退 病症初期常與老化混淆

  類澱粉蛋白正子造影檢查,圖左為正常的大腦影像,圖右顯示腦內充斥類澱粉蛋白。(聯新國際醫院提供) 記者陳華興∕桃園報導 一名65歲男性退休後逐漸出現記憶力與學習障礙,檢查發現左側丘腦有血管栓塞,進一步透過類澱粉蛋白正子造影(PET-CT)確診為阿茲海默症。醫師指出,此類病症初期常與老化混淆,若未及早辨識,恐延誤治療時機。 聯新國際醫院神經內科主任林衛邑說明,阿茲海默症是失智症最常見的原因,病理機轉與類澱粉蛋白及濤蛋白的異常沉積密切相關,其初期表現即為記憶力喪失。這些蛋白原本應被清除,卻因腦部出現許多問題而導致過度堆積,逐漸破壞神經功能,造成認知衰退。 林衛邑表示,阿茲海默症雖然病理特徵明確,治療上目前主流的口服藥物如「膽鹼酯酶抑制劑」與「NMDA受體阻斷劑」僅適用於阿茲海默症,「膽鹼酯酶抑制劑」亦可適用於帕金森病失智症,其藥理作用分別為提高腦中乙醯膽鹼濃度與延緩神經細胞衰亡速度,讓認知功能退化的速度趨緩。 醫師林衛邑說明提早清除類澱粉蛋白藥物,為阿茲海默症患者爭取黃金時間延緩退化。(聯新國際醫院提供) 林衛邑指出,今年引進的類澱粉蛋白單株抗體注射劑,則是專為類澱粉蛋白沉積所導致的失智症設計,不適用於路易氏體失智症、額顳葉失智症等類型患者的治療。施打前須先經過類澱粉蛋白正子造影確認病因,且僅限CDR評估為0.5~1分的輕度患者使用。治療前需先接受腦部磁振造影掃描,並安排住院注射與定期磁振造影追蹤以監測腦出血或腦水腫等併發症,整個療程達1年半。 國衛院呼籲,40歲起為失智預防黃金期,提出「顧腰圍、控血糖、壓不衝、脂不高、腎要好」5大護腦守則。林衛邑也提醒,三高、肥胖、抽菸與缺乏運動都是加速類澱粉蛋白堆積,提高失智風險的主因。 遠離失智多採用地中海飲食。(聯新國際醫院提供) 林衛邑建議多運動、多動腦、保持活躍心智以提升「認知儲備」,採行地中海飲食、控制三高、遠離含糖飲料,維持良好生活習慣以降低失智風險,若有疑慮則應及早就醫篩檢。早期發現、積極治療與矯正危險因子才能延緩退化,爭取更多時間與提升生活品質。

Read More

御宿汽車旅館徵早、夜班房務

1.早班房務 會烹飪佳 2.夜班房務23:00-17:00 薪32000起 介紹獎金...業界最高拿12000元 以上享勞健保,提撥金,生日禮金,三節禮金,團保 *應徵時間09:00-17:00 *請自備履歷表洽南市中華西路二段581號 電話358-8811(見報一週內有效)

Read More

晶鑽養生館徵早班清潔

早09-18、薪3萬起 享勞健保.團保 南市東門路三段73號 電:290-7722

Read More

徵大貨車司機、瓦斯灌裝員

大貨車司機薪35000 瓦斯灌裝員薪30000 月休8天享勞健保 洽266-0309

Read More

誠徵瓦斯送貨員

薪35000起 享勞健保  月休四天 兼職可 意洽271-2525

Read More

大友複合式釣蝦場徵工作伙伴

1.早晚廚師:薪45000-50000 2.三班外場櫃檯、廚助:薪28590起 無經驗可 親洽安南區安和路二段217號 電357-0033、0958-543033

Read More